Timings : Monday - Saturday (11AM to 7PM)* on appointment

Prosthodontics

Prosthodontics

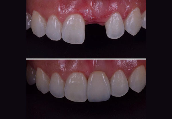
If you have a broken weak tooth or missing tooth, prosthodontic help is what you need.

  • Dental Crown/ Onlay - They restore damaged teeth. We use ceramic/ PFM crown, depending on patients need.
    Crowns minic the color, size, shape of the tooth and also provide strength to the teeth that have undergone root canal treatment.
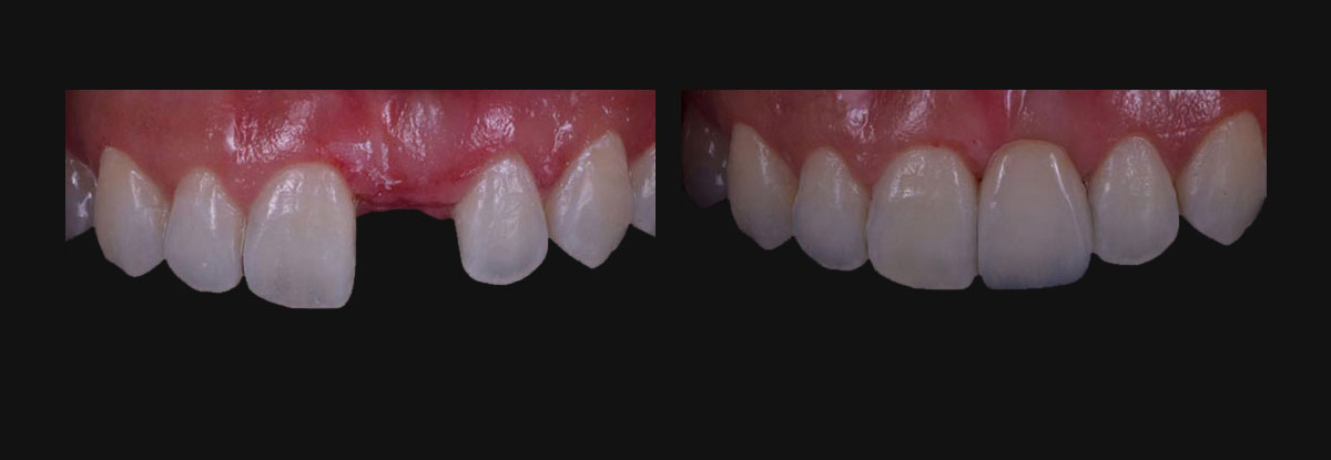
  • Dental Bridge - Bridge is a false tooth (ceramic/ PFM) held in place by abutment teeth (teeth on either side of gap).
    Bridge prevents the surrounding teeth from moving/ shifting in mouth.
  • (Dental Bridge)

  • Complete Dentures - Dentures are prosthetic devices used to replace missing teeth and are supported by Hard and Soft tissues of oral cavity. Now a days, Implant supported dentures are also available which are more retentive than normal dentures.